Schouder van Jan |
|
|
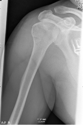
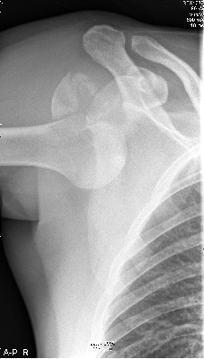
Na de ongelukige val was de arm uit de kom. |
|
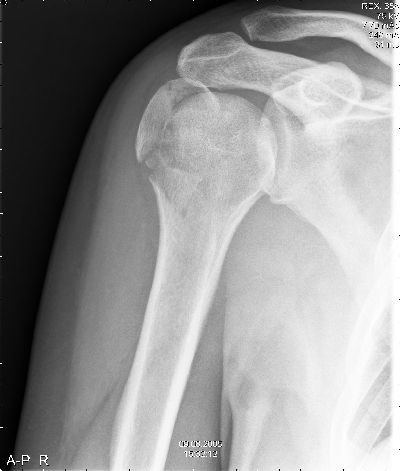
Nadat deze was terug gezet zag het er weer goed uit. |
|
|
|
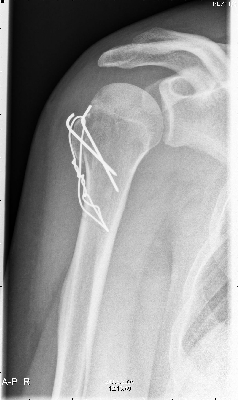
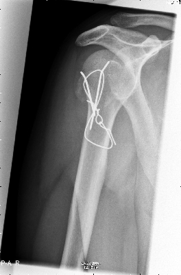
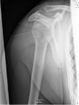
Maar op 9 augustus bleek dan niet zo te zijn en moest er de volgende dag geopereerd worden. |
| na de operatie was alles weer vast gezet. |
|